

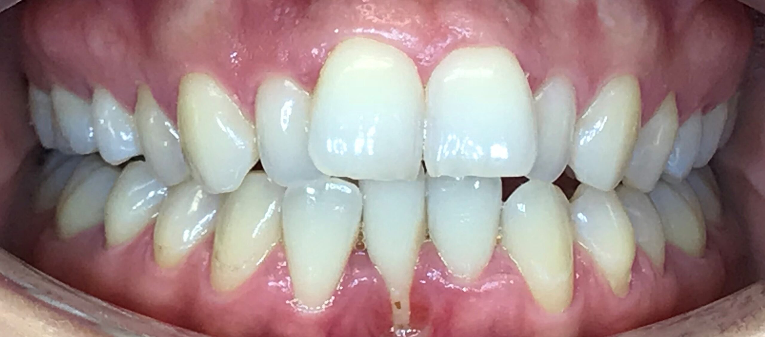
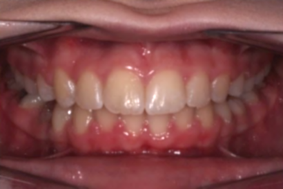
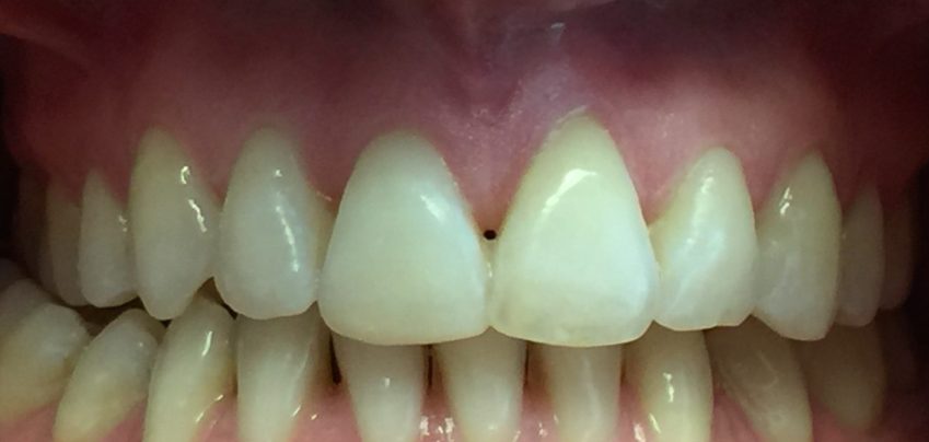
XX presented with concerns about the position of her teeth. She had a year of invisalign treatment to achieve a lovely result.
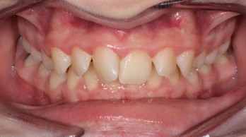
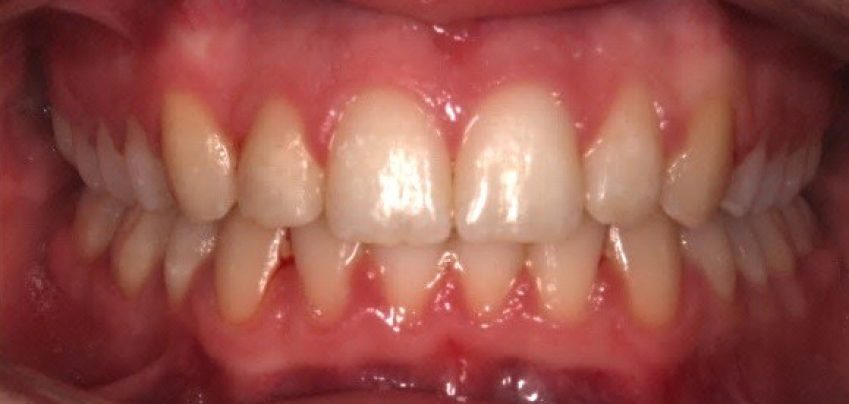
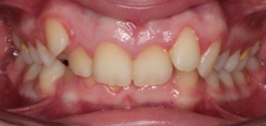
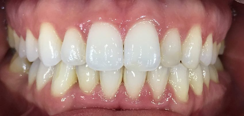
XX presented with overlapping front teeth. She had braces when she was young but didn’t wear her retainers. She had been through gum disease treatment and on taking an x-ray the roots of her teeth were short. She was treated with a 6-month course of upper fixed brace treatment with very light forces to reduce any unwanted effects on the health of her teeth.


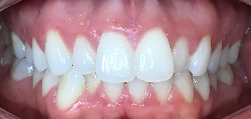
XX presented with bone loss in the lower front tooth and wanted to improve the position of the upper front teeth. We extracted one lower front tooth followed by upper and lower white braces and achieved a good result in just under a year.


XX presented with a tight timeline for her wedding. We did most of her treatment before she got married but completed the finishing touches afterward.
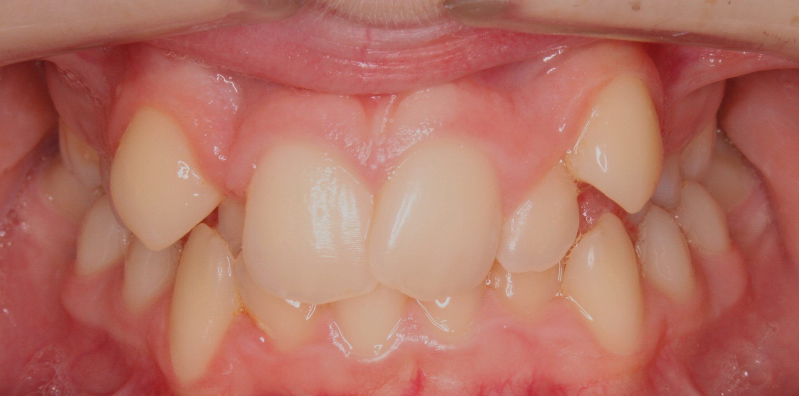
XX Presented with a complaint she was biting into her palate and her mouth was sore. We worked on improving her hygiene and then started brace treatment without the removal of any teeth using a removable brace in combination with fixed braces. The treatment took 2 years.
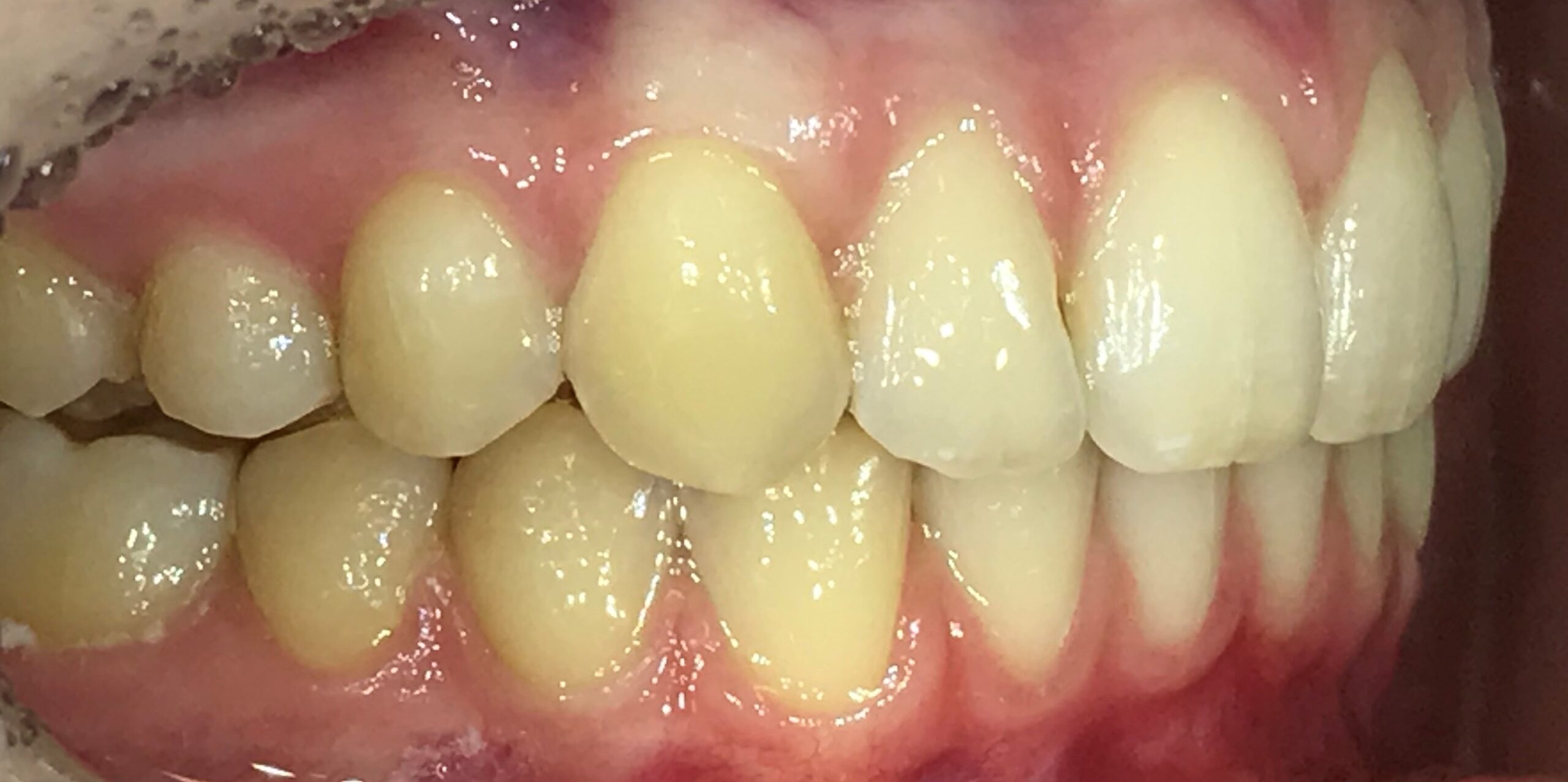
XX presented with a complaint she couldn’t bite correctly. She had a history of gum disease and was using Corsodyl mouthwash which was masking the detrimental effects of gum disease. Following gum disease treatment and the loss of 4 premolar teeth, 1 in each corner of the mouth, and fixed braces, we achieved her outcome in 18 months.


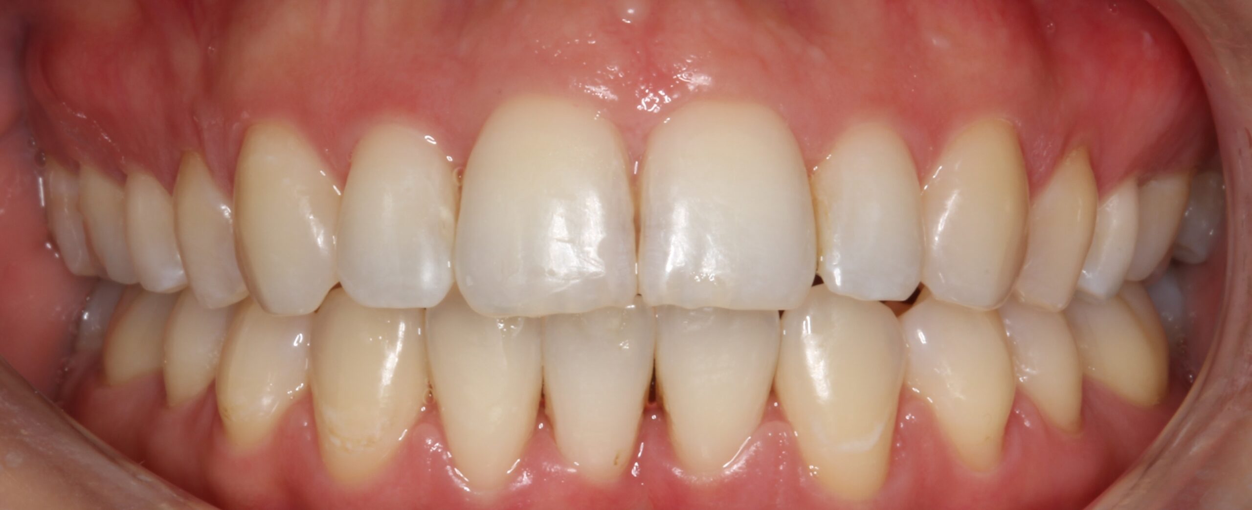
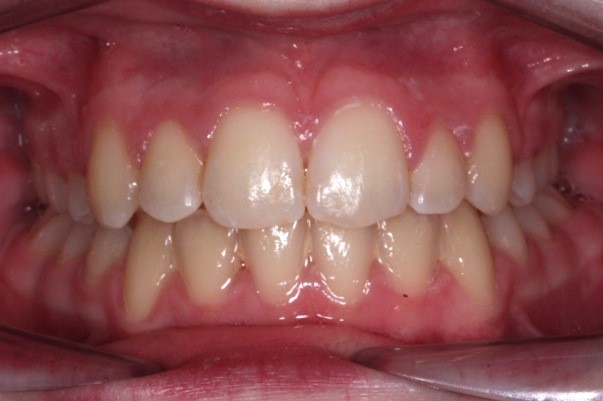
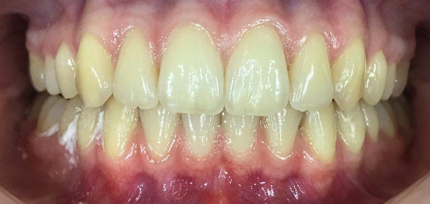
XX presented with concerns about the appearance of her teeth. She had upper and lower fixed braces and achieved a good outcome in 12 months.


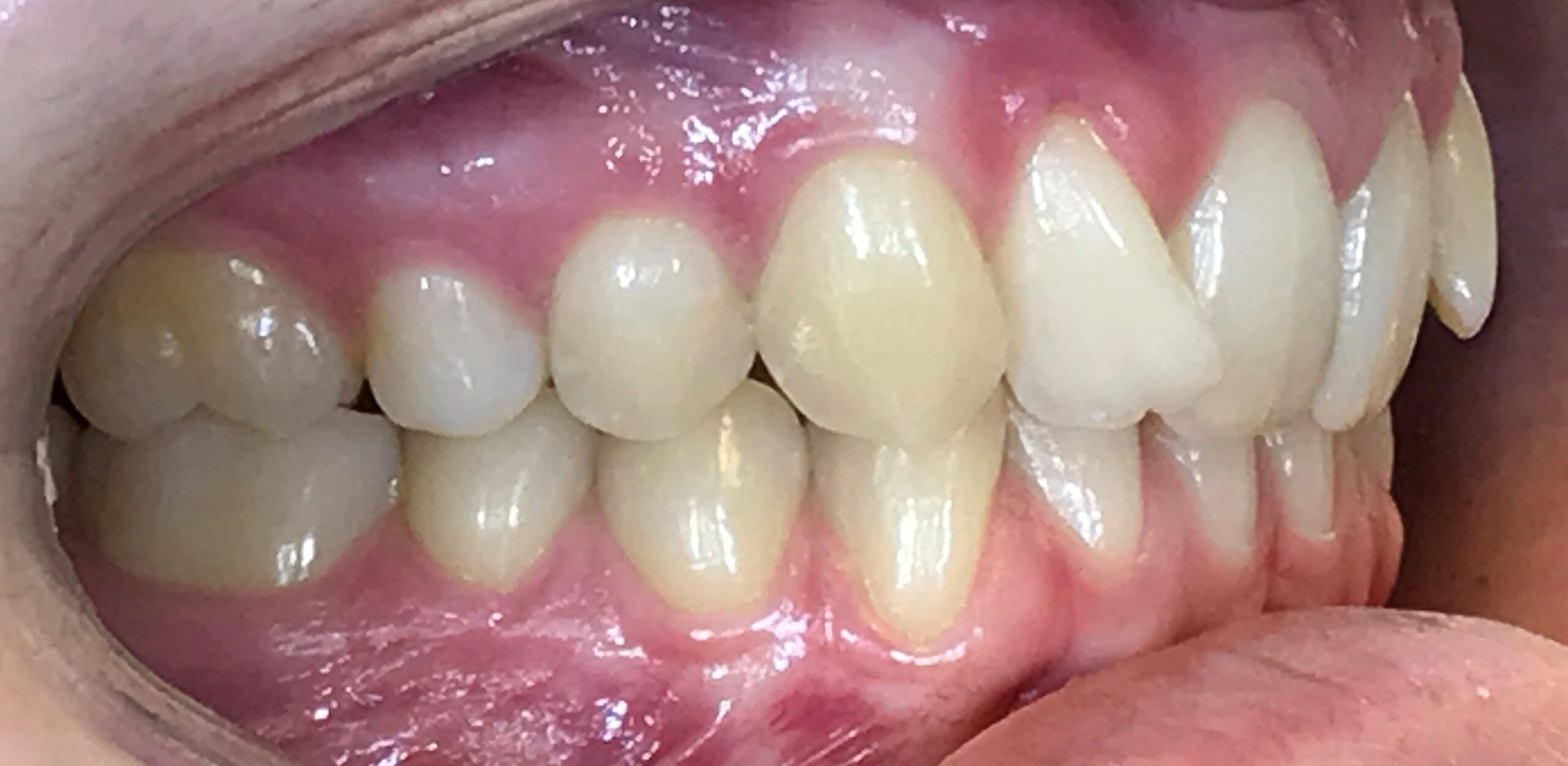
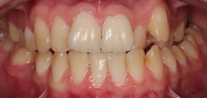
XX presented with pain in her back teeth and also her teeth being ‘higgledy-piggledy’ . The painful lower right and lower left first molars were removed as well as a premolar tooth in the upper right and upper left corner of her mouth followed by upper and lower braces.